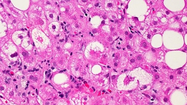
Viral infections, genetic factors may be linked to mystery hepatitis in kids, studies suggest

As scientists around the world are racing to understand what caused a spate of so-far unexplained cases of hepatitis in children — including some who needed liver transplants — two new U.K. studies are offering fresh clues.

In both papers, an unusual virus called adeno-associated virus-2 (AAV2) is implicated as one aspect of a complex mechanism that might be sparking rare and serious liver issues, including two dozen cases this year among Canadian children.

The preprint studies are from research teams in London and Glasgow, and not yet formally published or peer-reviewed. The teams looked at small numbers of children who suffered from liver inflammation which wasn’t caused by the obvious culprits, such as the usual family of hepatitis viruses, alongside healthy control subjects.

Read more….

Share:

More Posts

Rural Research Inclusion Project

Summary People who live in rural communities are often left out of health research because of long travel distances, limited internet connectivity, and fewer local

Housing is Healthcare

The work of Jacqueline Podewils and the Housing is Healthcare initiative continues to shine a light on the barriers faced by people who must leave

[gravityform id="3" title="true"]